Sunde dejlige langhårede schæferhunde fra dejlige Christa!

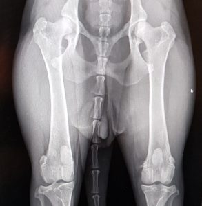
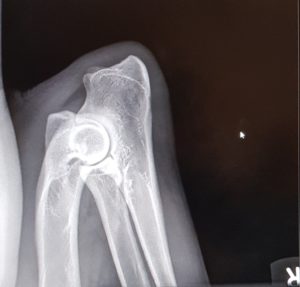
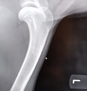
Endnu 2 hunde er blevet bedømt af DKK og fundet HD, AD og OCD frie, vi er så glade og stolte!

Stort tillykke til Milen & Claire.


Stort tillykke til Laura & Caja.


Sunde dejlige langhårede schæferhunde fra dejlige Christa!

Endnu 2 hunde er blevet bedømt af DKK og fundet HD, AD og OCD frie, vi er så glade og stolte!

Stort tillykke til Milen & Claire.


Stort tillykke til Laura & Caja.

